مسلسلات رمضان
بعد استئصال ورم بحجم البطيخة: ترميم صدر مريض باستخدام الخرسانة
22/05/2012

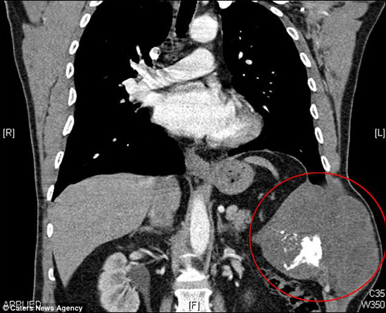
أعاد فريق طبي ترميم صدر مريض بريطاني باستخدام غلاف من الخرسانة بعد استئصال ورم في حجم البطيخة من بين أضلاعه. واكتشف الأطباء أن ماريك باردين (40 عاما) العامل في كنيسة مصاب بالسرطان في أغسطس/اب 2011 بعد أن اشتكى من وجود تورم في منطقة الصدر. وخضع خلال خمسة أسابيع من اكتشاف الورم إلى 6 عمليات جراحية لإزالة الورم وبطانة الرئة اليسرى، وستة أضلاع وجزء من الحجاب الحاجز.

حمدالله عالسلامة!

ولحماية صدره بعد نزع بعض أضلاعه تم تغليفه بقالب بلاستيكي مملوء بالخرسانة حجمه 25 سم وسمكه 4 ملليمتر، وتم استخدام جزء من عضلات الكتف في إصلاح مشكلة الحجاب الحاجز، بحسب صحيفة "ديلي ميل" البريطانية.

وقال باردين: "لقد فقدت كيلو جرام ونصف من وزني بعد إزالة الورم، ومن المحتمل أن أكتسب وزنا أكثر مما فقدته بعد وضع الغلاف الخرساني.. أستطيع أن أشعر به وبالقليل من النتوء. ليس لدي إحساس بهذا الجزء من بدني على الإطلاق، ولكني تعودت عليه".

وأضاف البريطاني الذي يصف نفسه بالمقاتل المستعد للموت: "أعتبر نفسي الرجل الآلي بسبب هذه الخرسانة، لقد أخذت بعض الوقت حتى تعودت عليها". وشارك في العمليات الجراحية التي خضع لها باردين ثلاثة من الجراحين، أحدهما جراح تجميل والآخر جراح قلب وصدر والثالث أخصائي جراحة عامة.

بعد استئصال الورم: اعادة ترميم صدر بريطاني باستخدام الخرسانة!

بعد استئصال الورم: اعادة ترميم صدر بريطاني باستخدام الخرسانة!

بعد استئصال الورم: اعادة ترميم صدر بريطاني باستخدام الخرسانة!