مسلسلات رمضان
دودة طولها سنتمترا واحدا تم العثور عليها في دماغ رجل بريطاني
02/12/2014

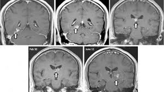
استخرج أطباء بريطانيون دودة من دماغ رجل بريطاني، طولها سنتيمتر واحد، بعدما ذهب لاستشارة طبيب ومعاينته نتيجة صداع حاد كان يعاني منه. وكانت هذه الدودة تنتقل من مكان إلى آخر في دماغ الرجل الخمسيني منذ نحو السنة، وفق ما أكّده باحثون في 21 من هذا الشهر، وتعرف هذه الدودة باسم Spirometra erinaceieuropei.

هذه المرّة الأولى التي يتمّ من خلالها اكتشاف هذا النوع من الطفيليات في بريطانيا. فمنذ العام 1953 تمّ تسجيل 300 حالة فقط في جميع أنحاء العالم. تسببّ هذه الدودة التهاباً في الخلايا، وإن وصلت إلى الدماغ، يصبح هناك فقدان للذاكرة وآلام في الرأس. إنّ هذا النوع النادر يبقى غامضاً في نظر الباحثين الذين يجهلون دورة حياته. يلتقط الإنسان هذا النوع من خلال تناوله لحيوانات مائية. وقد أعطيت لاختصاصيين من الـ Wellcome Trust Sanger Institute في كامبريدج الذين تمكنوا من استخلاص جينومه للمرّة الأولى، ممّا يسمح لهم باكتشاف علاج له.