مسلسلات رمضان
كيف اخترقت الابرة قلب سيدة صينية وبقيت فيه 3 اشهر؟
10/04/2016

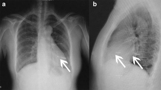
تعرضت إمرأة صينية تبلغ من العمر 48 عاما لسكتة دماغية نقلت على إثرها إلى المستشفى، وبعد القيام بالفحوصات تبين للأطباء، وجود إبرة في عضلة قلب السيدة كانت السبب في إصابتها. وأظهرت الفحوصات أن الإبرة كانت قد اخترقت صدر السيدة الصينية قبل عدة أشهر، وبقيت عالقة في عضلة قلبها قبل أن تفقد وعيها لدقائق في أحد الأيام، ما جعلها تقرر التوجه إلى المستشفى للاطمئنان على حالتها الصحية.

وبقيت الإبرة عالقة في عضلة قلب السيدة الصينية لشهور ورغم هذا، لم يذكر التقرير أسباب اختراق الإبرة صدر المرأة. وأضاف التقرير أن الإبرة، بعد اختراقها صدر السيدة الصينية، تجمع حولها الدم مشكلا كتلة دموية متكلسة. وهذه الكتلة هي التي أدت بعد انتقالها إلى الدماغ إلى فقدانها الوعي. وكان يفترض أن تشعر المريضة التي توغل في قلبها جسم غريب بأعراض كألم في الصدر، وصعوبة في التنفس، وعدم انتظام في دقات القلب، والتهاب في القلب، إلا أن أيا من هذه الأعراض لم تظهر على السيدة الصينية. وقد توجهت المرأة إلى المستشفى بعد أن فقدت وعيها لعدة دقائق، كما سبق لها أن تعرضت لنوبة دماغية أدت إلى تعثر نطقها.

وقال الطبيب المعالج إن الجسم الغريب كان عبارة عن إبرة طولها طول أصبع، وأضاف أن ما جعل الأعراض لا تظهر على المريضة هو كون الثقب الذي أحدثته الإبرة في عضلة القلب أغلقه الدم المتكلس. وقال الطبيب إن المريضة كانت بحاجة لإجراء عملية جراحية لإزالة الإبرة من صدرها، ولحسن الحظ لم تظهر عليها أي مضاعفات عصبية.