مسلسلات رمضان
جديد في عالم الطب.. زراعة اعضاء بشرية في اجساد حيوانية!!
08/08/2016

قد يبدأ العلماء قريباً بزرع الأعضاء البشرية داخل أجساد الحيوانات، إذ تفكر معاهد الصحة الوطنية الأمريكية برفع حظر، كان قد منع تمويل التجارب التي تتضمن الخلايا الجذعية البشرية داخل الأجنة الحيوانية. وقد يوفر رفع الحظر هذا فرصة للعلماء بالحصول على تمويل فدرالي لأبحاث الكمير – أي الكائنات المخلقة جينياً – المثيرة للجدل، قد تساهم في خلق أعضاء "منقذة للحياة" لمرضى عمليات الزرع، مثل الكلى والبنكرياس.

وتنص معاهد الصحة الوطنية الأمريكية في اقتراحها بأنها ستشكل لجنة تعمل على مقترحات بحثية لكمير إنساني حيواني. وقد أعلنت الوكالة عن قرار إعادة النظر في سياستها السابقة، التي أنشئت في العام 2009، بسبب تقدم التكنولوجيا وزيادة المعرفة في مجال البحث الكميري بسرعة كبيرة في السنوات القليلة الماضية.

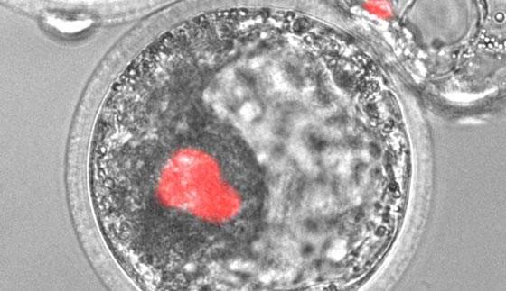
تظهر هذه الصورة المجهرية خلايا جذعية محفزة من صنع الإنسان، باللون الأحمر، مدموجة داخل جنين خنزير. ويأمل العلماء أن هذه الخلايا البشرية يمكن تسخيرها لصنع أعضاء لمرضى العمليات الزراعية يوماً ما

وتشرح المؤسسة في اقتراحها أنه هناك "اهتمام وإمكانيات واضحة في تصنيع نماذج حيوانية بأنسجة أو أعضاء بشرية لدراسة التنمية البشرية وعلوم الأمراض وزراعة الأعضاء أيضاً." ويواجه العالم بأكمله حالياً، نقصاً شديداً في توفر الأعضاء المتبرع بها للمرضى ممن يحتاجون عمليات زراعة أعضاء، إذ يموت 22 شخصاً يومياً في الولايات المتحدة فقط، بينما ينتظرون توفر أعضاء على قوائم الزرع العالمية.

ويحاول الباحثون في جامعة كاليفورنيا وديفيس وغيرها من المؤسسات، بمعالجة هذه المشكلة من خلال زراعة الأعضاء البشرية داخل حيوانات، مثل الخنازير والأبقار. ويعرف خليط الحمض النووي البشري والحيواني هذا، باسم الكمير أو الكيميرا، وهو مصطلح مشتق من كلمة قديمة أطلقت على المخلوقات الهجينة الوحشية في الأساطير اليونانية.

ويترأس هذه الأبحاث العالمان، خوان كارلوس إيزبيسوا بيلمونتي وجو وو

ورغم أنه هناك احتمال كبير في أن تساهم هذه الأبحاث والتجارب بعلاج الأمراض واختبار المخدرات وإنقاذ حياة الكثيرين، إلا أنه هناك الكثير من المخاوف حول الآثار المترتبة على وجود خلايا إنسانية في أعضاء وأنسجة حيوانات كميرية، خاصة في الجهاز العصبي، من ناحية أخلاقية، وفقاً لكاري وولينيتز، المديرة المساعدة لسياسات العلوم في المؤسسة.

وتعود مخاوف وولينيتز إلى تصريح أصدرته المؤسسة في العام 2015 ينص على أنها لن تدعم أبحاثاً من هذا النوع لما فيها من مخاوف من تزويد الكمير بالخصائص المعرفية، إذ يخشى بعض العلماء أن استخدام الخلايا الجذعية البشرية في هذه التجارب البشرية والحيوانية، قد تساهم في خلق عقل بشري داخل الحيوانات.

وستستخدم خنازير من منشأة "أغروبور" في تجارب الكمير هذه

وقد استخدم الباحثان في أول أبحاثهم الفئران، ولكنهم يفضلون اليوم استخدام الخنازير لأن أحجام أعضائها تشبه الأعضاء البشرية

خلايا جذعية محفزة من صنع الإنسان مستخرجة من جلد وشعر بشري تنمى داخل طبق بتري

ويشارك في الدراسة باحثون من مختبر "أغروبور" الميداني في اسبانيا مع عدد من الجامعات الأمريكية