مسلسلات رمضان
تتبع 13 اشارة يبثها جسدك لتتعرف على حالتك الصحية
14/01/2017

إن الجسم غاية في العبقرية، وله لغته الخاصة التي تحاورنا وتحاول إخبارنا بأشياء قد لا نتفطن إليها. وقد أثبت العلم الحديث أن كل إشارة في الجسم هي انعكاس لما يدور داخل أجسامنا، وعما إذا كان الانسان في حاجة إلى تدخل طبي، من عدمه. موقع روسي نشر قائمة بـ 13 من العلامات الأكثر شيوعا، والتي قد تبدو سخيفة أو مستغربة، ولكن الجسم يحاول من خلالها أن يقول لنا شيئا.

1- جفاف البشرة: إذا لاحظت أن بشرتك جافة، فهذا يعني أنكِ تفتقرين للفيتامين (إي). ولذلك، عليك أن تُدرجي بعض المواد الغذائية إلى قائمة عاداتك الغذائية على غرار المكسرات، والأسماك والزيوت النباتية.

2- سقوط وهشاشة الشعر: قد يعني ضعف الشعر وتقصفه عادة أنك تعانين من نقص في الفيتامين (ب) والكالسيوم. وعموماً، يوجد العديد من الحلول لهذه المشكلة، إذ يمكن حلها عن طريق تناول الفاصوليا والحبوب الكاملة والحليب ومشتقاته.

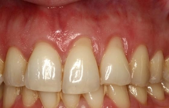
3- التهاب اللثة: يعتبر التهاب اللثة مؤشراً على نقص حاد في فيتامين (سي)، خاصة إذا ما استمرت الحالة لوقت طويل. ويمكن تجاوز هذا النقص بتناول البصل والثوم والمزيد من الفواكه والخضراوات.

4- مشاكل النوم والعصبية: في حال لاحظت أنك تعاني من مشاكل في النوم وتستيقظ في حالة سيئة كل صباح، فهذا يدل على نقص مادة المغنيسيوم والبوتاسيوم في الجسم. وفي هذه الحالة ينصح بمد الجسم بالعناصر النزرة (وهي مركبات غذائية حيوية وضرورية لاستمرار فعاليات الجسم بصورة سليمة) المتواجدة في غلال المشمش المجفف ومعجون المشمش والخوخ والبنجر.

5- تقلصات الأعضاء ليلاً: يؤكد هذا المؤشر على وجود نقص في المغنيسيوم والبوتاسيوم.

6- تهيج الجلد في منطقة المرفقين: تعدّ هذه العلامات من الأعراض الواضحة لوجود نقص في الفيتامين (سي) و(أ). وللتقليص من نقص الجسم لهذه الفيتامينات، ينصح بتناول جميع الخُضر والغلال، خاصة البرتقال والجزر والطماطم والمشمش.

7- الرغبة في تناول الطعام الغني بالملح: إذا كنت ترغب باستمرار في إضافة المزيد من الملح في طعامك، فهذا يشير إلى وجود مشاكل والتهابات حادة خاصة في الجهاز البولي والتناسلي.

8- الرغبة في تناول الحلويات: تُعتبر الرغبة في تناول الحلويات بكثرة، مؤشراً على الإرهاق العصبي وحاجة الجسم باستمرار لإمدادات الطاقة والغلوكوز. وفي هذه الحالة، ينصح بتناول العسل أو الشكولاتة الداكنة تجنباً لمشاكل المعدة والوزن الزائد.

9- مضغ بذور عباد الشمس: هذه العادة البسيطة تدل على افتقار الجسم للمواد المضادة للأكسدة.

10- الرغبة في تناول الحوامض: تعتبر الرغبة الزائدة في تناول الحوامض من الدلائل على حاجة الجسم لتنشيط الكبد والمرارة، حيث ينصح الأطباء بتناول الغلال الحامضة دون إفراط، على غرار الليمون والتوت البري. كما أنه من المحبذ أن تدخل هذه العناصر في النظام الغذائي اليومي.

11- الرغبة في تناول الطعام المر: يدل هذا المؤشر على وجود مشاكل في الجهاز الهضمي. ولذلك، يجب إيجاد حلول لتطهير الجسم والجهاز الهضمي.

12 - الرغبة في تناول الطعام الحار: من المتعارف عليه أن الأطعمة التي تحتوي على التوابل اللاذعة تحفزُ عملية الهضم، إلا أنه ينبغي استهلاكها بكميات معقولة إذ يمنع تناولها على معدة فارغة.

13- عدم تناول المنتجات البحرية: تدل هذه العلامة على نقص معدن اليود في الجسم، الذي يُعدّ معدناً مهماً جداً.