مسلسلات رمضان
لماذا عليك ألّا تستعمل عيدان تنظيف الأسنان الخشبية؟
03/03/2017

يعاني غالبيتنا من اللحظات التي يعلق فيها الطعام بين الأسنان، وخصوصاً بعد تناول الذرة أو اللحوم، وللشعور بالراحة نلجأ إلى عيدان الأسنان الخشبية (نكاشة الأسنان) لإزالة تلك البقايا. وعلى رغم استخدام العيدان الخشبية لتنظيف بقايا الطعام العالقة، لكن هل يعد استخدامها آمناً؟

وفق الخبراء في صحة الاسنان والفم، فإن استخدام عيدان الأسنان بقوة يشكل خطراً على صحة اللثة والأسنان معاً، ويفضل استبدال تلك الأعواد بخيط تنظيف الأسنان بعد تنظيفها بالمعجون المناسب وشطفها بغسول الفم والمياه.وتسبب العيدان الخشبية أضراراً كثيرة، منها:

 

1- تآكل الأسنان: ويسبب إدخال العيدان الخشبية بين الأسنان لإزالة جزيئات الطعام خلفها، تآكلاً لمينا الأسنان ويؤدي أيضاً إلى نزيف في اللثة.

 

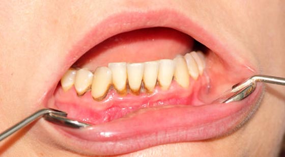
2- أمراض اللثة: قد يكون استخدام العيدان الخشبية مرة واحدة وعلى فترات طويلة أمر طبيعي، إلا أن الاستخدام المتكرر يؤثر في اللثة، ويسبب أمراضاً مزمنة مثل الالتهابات والتقرحات.

 

3- فراغات بين الأسنان: تؤدي المواضبة على استخدام العيدان الخشبية في المكان نفسه إلى تكوّن فراغات بين الأسنان، ومن شأن ذلك أن يؤدي الى تفاقم الحالة إلى حد زيارة طبيب تقويم الأسنان وتجميلها.

 

4- مينا الاسنان: يميل بعض الاشخاص إلى مضغ العيدان المصنوعة من الاخشاب أو البلاستيك، ما يضعف مينا الاسنان.

 

5- آلام جذور الاسنان: الاستخدام المتكرر للعيدان الخشبية لا يؤثر فقط في اللثة، بل يؤدي إلى انحسارها وتحرك الاسنان ما يسبب آلاماً.

 

6- رائحة الفم الكريهة: تستخدم العيدان الخشبية بشكل عام لإزالة بقايا الطعام العالقة، لكن عند بقاء تلك البقايا لفترة طويلة وحتى بعد استخدام الاعواد الخشبية يسهم ذلك في تكوين البكتيريا في الفم، ما يسبب رائحة النفس الكريهة.