مسلسلات رمضان
اليكم 6 اعراض غير عادية تشير إلى أمراض القلب
25/03/2018

 تقول دراسات عديدة إن شخصا من بين أربعة يموت جراء أزمة قلبية، وإن أغلبيتهم لا يتوقعون إصابتهم بها، فما هي العلامات التي تشير إلى قرب تعرضك لأزمة قلبية؟ وحسب ما ذكرته صحيفة بريطانية، فإن بعض العلامات غير العادية التي تظهر على الإنسان يمكن من خلالها التنبؤ بالأزمة القلبية. وكشف الدكتور آدم تايلور، من جامعة لانكستر البريطانية، 6 من العلامات غير العادية لأمراض القلب.

1- التجاعيد في الأذن: ظهور تجاعيد فطرية على شحمة الأذن المعروفة باسم "علامة فرانك"، هي من المؤشرات الخارجية التي تنذر بالإصابة بمرض القلب. وأظهرت دراسات أن هناك ارتباط بين تجاعيد شحمة الأذن وزيادة خطر الإصابة بتصلب الشرايين.

2- ظهر نتوءات على بعض أعضاء الجسد: في حال ظهور نتوءات فطرية على مرفقك أو ركبتك أو جفونك فيجب التوجه إلى الطبيب لتشخيص حالتك. والنتوء هو عبارة عن زائدة لحميّة رخوة تنمو على الجلد وعلى غشاء مخاطي.

3- أظافر اليدين: إذا لاحظت أن أظافر يديك أصبحت أكثر سمكا، فهذا يدل على إنتاج جسمك المزيد من الأنسجة. وعادة ما يكون الأمر غير مؤلما لكنه يشير إلى مشاكل في القلب، على اعتبار أن الدم المؤكسد لا يصل إلى الأصابع.

4- العين: رؤية رواسب دهون في العين، تحيط بالقزحية (الجزء الملون من العين)، وغالبا ما يكون لونها رماديا، مرتبط ببعض عوامل الإصابة بمرض القلب التاجي (الداء القلبي الإكليلي).

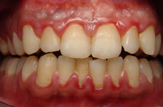
5- التهاب اللثة: صحة فمك قد تكون من بين مؤشرات صحة القلب والأوعية الدموية. وفي حال كان الفم مليئا بالبكتيريا، فإن هذه الأخيرة تنتقل إلى الدم، حيث تدخل من الفم في اتجاه الأوعية الدموية.

6- الشفاه: لون شفاهك دليل آخر على صحة قلبك. وعادة ما يكون لون الشفاه أحمرا، فإذا كان أزرقا، فهذا دليل على أن الشخص يعاني من مشاكل في القلب، وذلك بسبب فشل نظام القلب في توصيل الدم إلى الأنسجة.