مسلسلات رمضان
بالفيديو.. كيف تبدو رئة مصاب بفيروس كورونا وما يحصل داخلها؟
28/03/2020

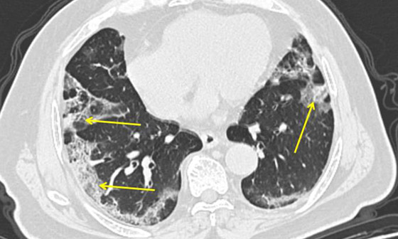
تصوير مقطعي محوسب من مستشفى جامعة جورج واشنطن يُظهر آثار فيروس كورونا المستجد، أو ما يُعرف بـ"كوفيد-19"  رئتي رجل عمره 59 عاماً. فشاهدوا معنا في الفيديو المدهش أدناه كيف تبدو رئة مصاب بفيروس كورونا (فيروس كوفيد 19) وما يحصل داخلها..