مسلسلات رمضان
لأول مرة.. التقاط لحظة إصابة فيروس كورونا لخلية سليمة! صور
10/04/2020

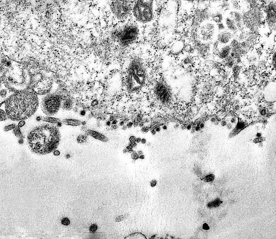
تمكّن فريق من الباحثين البرازيليين من التقاط لحظة إصابة فيروس كورونا لخلية حية، باستخدام مجهر إلكتروني قوي. والتقط خبراء من مؤسسة Oswaldo Cruz في البرازيل الصور المذهلة، أثناء دراسة طرق تكرار فيروس كورونا وانتشاره. وفي سلسلة من الصور، يمكن رؤية جزيئات متعددة من الفيروس القاتل، تنتقل من حالة محاولة دخول خلية إلى رؤيتها داخل الخلية.

واستخدم الباحثون أداة تسمح لهم بتكبير الأجسام حتى مليوني مرة من حجمها الطبيعي، ما يسمح لهم بالتعمق داخل الخلية ورؤية الفيروس. وقالت مؤسسة الأبحاث البرازيلية، Fiocruz، إن الخلايا المستخدمة في الدراسة جاءت من القرد الأخضر الإفريقي- وليس من البشر.

وغالبا ما تستخدم مزارع الخلايا من القرد الأخضر الإفريقي، وهو أحد أنواع الرئيسيات الموجودة في السودان وإثيوبيا، في الاختبارات المعملية، وفقا لـFiocruz. وتظهر أهم صورة من الصور الثلاث، لحظة بدء COVID-19 في دخول الخلية نفسها. وفي إحدى الصور، يمكن رؤية العديد من جزيئات الفيروس التي تحاول إصابة السيتوبلازم بالخلية - حيث تحافظ على المادة الجينية.

وكتب فريق البحث أن "العلماء استخدموا الفيروسات المعزولة من عينات تم جمعها من أنف وحلق مريض مصاب. ثم تُنقل الخلايا المصابة إلى المختبر حيث يتم فحصها تحت المجهر الإلكتروني، لالتقاط لحظة الإصابة". وتظهر البقع الداكنة في الصور التي التقطها الباحثون، فيروس SARS-COV-2.

وتدرس المؤسسات البحثية حول العالم الفيروس بتفصيل دقيق من أجل محاولة اكتشاف كيفية إيقافه. ولا يوجد حاليا علاج أو لقاح للفيروس، الذي نشأ في ووهان، الصين، ويعتقد أنه انتقل إلى البشر من الخفافيش. ونظرا لأنه فيروس جديد تماما، يحتاج الباحثون إلى أكبر قدر ممكن من المعلومات حول العامل الممرض لإنتاج لقاح.