مسلسلات رمضان
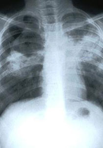
السل يعود إلى 9000 عام!!
16/10/2008

كشف باحثون النقاب عن علامات الإصابة بالسل في عظام بشرية وقالوا انها تعود الى 9000 عام. وقد جاء هذا الكشف بعد ان عثر على عظام تحت المياه قبالة الشواطيء الفلسطينية الامر الذى يؤكد أن عمر المرض من 3000 عام كما كان يعتقد من قبل. ليس هذا ما أكده فقط إنما كما ذكرنا يعود إلى 9000 عام وليس فقط 3000 عام.

والله إنه مرض خطير!!

ذكر الباحثون أن النتائج تبين أن السل تطور عبر آلاف السنين وتقدم فهما أفضل للسبل التي قد يتحور بها المرض في المستقبل. وقال "مارك شبيجلمان" من جامعة كوليدج في لندن الذي شارك في الدراسة فحص رفات بشرية قديمة بحثا عن علامات لمرض السل مهمة للغاية لأنه يساهم في مساعدتنا على فهم السل قبل التاريخ وكيفية تطوره. وأضاف ساعدنا هذا من ثم في تحسين فهمنا لمرض السل في الحاضر والكيفية التي يمكننا بها ابتكار علاجات أكثر فاعلية.

توصل فريق طبى أن تحليل الحمض النووي والعلامات المميزة للإصابة بالسل على العظام يبين أن الهياكل العظمية التي تعود إلى قرية من العصر الحجري الحديث كانت مصابة بالمرض وأظهرت اختبارات أخرى أن سلالة المرض هي نوع لا يصيب إلا الإنسان وهو شبيه بالبكتريا الشائعة التي تصيب البشر بالسل حاليا.

قالت "هيلين دونوجو" من جامعة كوليدج أن أقدم سلالة من مرض السل تم التعرف عليها قبل ذلك كانت في مجموعة من المصريين يرجع تاريخهم إلى 3000 عام قبل الميلاد. والسل مرض بكتيري معد يصيب في العادة الرئتين وهو يصيب الآن 2.9 مليون شخص كل عام ويقتل ما يقدر بنحو 1.7 مليون شخص في أنحاء العالم.