ابراج يومية
عالم الأناقة
حول العالم
صحة ورشاقة
جميع المسلسلات
مسلسلات عربية
مسلسلات تركية
مسلسلات عالمية
مواهب ومسابقات
برامج تلفزيون
افلام عربية
Tweet
ابراج
مرأة
منوعات
صحة
رمضان
مسلسلات
عربية
تركية
عالمية
برامج
مواهب
افلام
صحة و رشاقة
إليكم طريقة تحضير شوربة الطماطم المشوية مع الأعشاب الصحية ..
شرطان فقط.. علماء يكشفون متى ينتهي الهلع العالمي من وباء ..
لن تصدقوا.. ماذا يحدث إذا تناولتم ثمرة كيوي يوميا؟
إليكم طريقة تحضير حلى الشعيرية الباكستانية بالحليب اللذيذة ..
10 خطوات تساعدك على خسارة الوزن ونجاح الدايت بعد سن ..
إليكم 8 أعراض لضربة الشمس وطرق الوقاية منها
إليكم طريقة تحضير متبل الشمندر بالطحينة اللذيذ
لمن يعاني الأرق.. كوب واحد مساء يساعدك على نوم عميق
إليكم طريقة تحضير دونات جوز الهند الشهي لمرضى السكري
أطعمة تقاوم نزلات البرد
إليكم 6 أطعمة يجب أن تكثروا منها بعد تلقي لقاح كورونا
إليكم 5 عادات خاطئة عند الفطور تدمر مناعة الجسم
6 إشارات وعوارض يطلقها الجسم لتحذيرك من قصور القلب
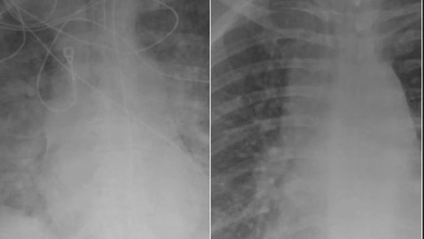
صور بالأشعة السينية تظهر الفرق بين الرئتين قبل وبعد ..
ظاهرة غريبة تظهر على النساء بسبب الصودا الدايت
حليب البطاطس سيكون أحد أكبر اتجاهات الغذاء في عام 2022
إليكم طريقة تحضير بسكويت الردة لمرضى السكري.. صحي ولذيذ
الجوع أو الهضم أم مشاكل بالمعدة.. إليكم 5 أسباب لأصوات البطن ..
الأول
السابق
150
151
152
153
154
155
التالي
الأخير
×
بحث